Tierarztpraxis Lützschena |  An der Schäferei 2 | Leipzig| 04159 | Tel: 0341 - 4684568

Wir operieren Mo. bis Fr. täglich 12 bis 16 Uhr

Die     Tierarztpraxis     Lützschena     verfügt     über     einen     modern eingerichteten     Operationsraum:     Der     OP-Tisch     mit     V-Top garantiert    eine    optimale    Lagerung    des    Tieres.    Seit    12    Jahren verwenden   wir   beim   Hund   den   „Goldstandart“   der   Anästhesie, d.h.    die    Narkoseeinleitung    mit    Propofol    und    anschließend    die Inhalationsnarkose    mit   Isofluran.   Mittels   Pulsoxymeter    werden die      Sauerstoffsättigung      und      die      Pulsfrequenz      permanent überwacht.   Ein   venöser   Zugang   ist   selbstverständlich.   Bei   Bedarf können       wir       präoperativ       wichtige       Gerinnungsparameter kontrollieren.  Bei   der   Katze   verwenden   wir   die   „Dissoziative   Anästhesie“,   eine Kombination        aus        Medetomidin        und        Ketamin,        als Standardnarkose,     da     diese     bei     dieser    Tierart     hervorragende Resultate    bzgl.    Schmerzausschaltung,    Steuerbarkeit    und    damit Sicherheit bringt.

Ultraschall

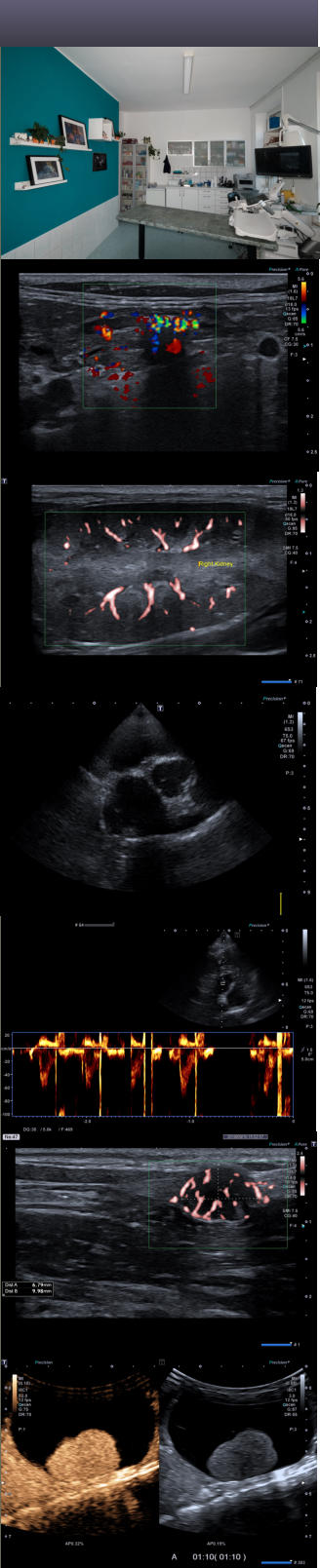
Unsere   Praxis   verfügt   über   2   Ultraschallgeräte:   Das   SonositeM- Turbo    ist    ein    transportables    Ultraschallgerät,    welches    eine    für seine   Größe   hervorragende   Bildqualität   liefert   und   ausgesprochen robust   ist.   Nicht   umsonst   wird   es   vom   US-Militär   und   von   der Organisation    Ärzte    ohne    Grenzen    genutzt.    Uns    dient    es    bei Hausbesuchen   dazu,   einen   Ersteindruck   zu   gewinnen   und   gleich vor Ort nötige Maßnahmen ergreifen zu können. Für    weiterführende    Untersuchungen    steht    uns    mit    dem    Canon Aplio    i-800    in    der    Praxis    ein    absolutes    High-End-Gerät    zur Verfügung.     Es     verfügt     wohl     im     Moment     über     das     beste Grauwertbild    im    Ultraschall    und    dieses    ist    nach    wie    vor    die Grundlage   für   alle   weiteren   Schallverfahren,   erlaubt   es   doch   die Feststellung    von    lokalen    und    diffusen    Veränderungen    in    den parenchymatosen   Organen   oder   die   Suche   nach   Fremdkörpern   in Darm.     Unsere     umfangreiche     Sondenauswahl     erlaubt     mir, hervorragende    Bilder    sowohl    vom    Chihuahua    als    auch    vom Labrador zu machen. Neben   dem   normalen   Farbdoppler   steht   noch   der   smi-Doppler   zur   Verfügung,   welcher   noch   sensitiver   für   langsame   Blutflüsse ist   und   gleichzeitig   Bewegungsartefakte   besser   unterdrückt.   Der Spektraldoppler     ist     aus     der     Herzsonographie     nicht     mehr wegzudenken      und      erlaubt      es      Fließgeschwindigkeiten      zu bestimmen.    Der    Kontrastmittelultraschall    mittels    SonoVue oder   Luminity   ermöglicht   in   der   Leber   die   Diagnose   einer   FNH, eines    Hämangioms,    eines    Leberzelladenoms    oder    von    lokalen Leberverfettungsstörungen,       generell       eine       Unterscheidung zwischen   gut-   und   bösartigen   Veränderungen,   hilft   aber   auch   bei der   Einschätzung   von   Veränderungen   in   der   Milz,   den   Nieren   und des    Pankreas.    Und    dort,    wo    das    Bild    alleine    nicht    ausreicht, erlauben      die      Punktionsaufsätze      eine      Ultraschall-geführte Gewebsprobenentnahme   entweder   für   die   Zytologie   oder   für   die Histologie.   Auch    therapeutische    Punktionen/Drainagen    bzw. Ablationen mit Ethanol sind  möglich. Der     Ultraschall     ist     in     meinen     Augen     heute     die     beste Untersuchungsmethode    im    Bauchraum    und    ist    bei    vielen Fragestellungen   sogar   dem   MRT   bzw.   dem   CT   überlegen,   da das Auflösungsvermögen höher ist. Die   Sonographie   der   Herzens   (Echokardiographie)   gibt   mir die      Möglichkeit,      die      wichtigsten      Herzerkrankungen      zu diagnostizieren     und     einen     Therapieplan     zu     erstellen.     Der komplette   Untersuchungsgang   am   Herzen   erfordert   eine   rechts- und     linksseitige     Anschallung     des     Herzens,     um     auch     die notwendigen Doppleruntersuchungen durchführen zu können. Weiterführende   Ultraschalluntersuchungen   führen   wir   täglich zwischen       12.00       und       16.00       Uhr        durch.       Einfache Untersuchungen    einzelner   Organe   wie   z.B.   der   Harnplase,   der Prostata    oder    von    Umfangsvermehrungen    (Abdomen,    Haut), deren   Notwendigkeit   sich   in   der   Sprechstunde   herausgestellt   hat, führe   ich   in Abhängigkeit   des   Patientenaufkommens   i.d.R.      sofort   aus. Die     Kleintierpraxis     Lützschena     verfügt     mit     dem     mobilen Röntgengerät        Gamma        Vision        über        ein        modernes Hochfrequenzröntgengerät.   Der   kleine   Fokus   von   nur   1,2   mm² erlaubt       scharfe       und       kontrastreiche       Aufnahmen.       Die Röntgenaufnahmen    werden    unmittelbar    maschinell    entwickelt, was   zeitsparend   ist   und   eine   konstant   gute   Entwicklungsqualität garantiert.   Auf   eine   Umstellung   auf   digitales   Röntgen   habe   ich bewußt   verzichtet,   da   es   diagnostisch   kaum   Vorteile   bietet   und nur das Aufnahmemedium ein anderes ist. Im    Normalfall    werden    die    Tiere    zum    Röntgen    sediert.    Dies erlaubt    einerseits    ein    bessere    Lagerung    des    Tieres    für    die Röntgenaufnahme,    was    unabdingbar    ist    für    ein    aussagefähiges Röntgenbild,     und     andererseits     ist     dies     gegeben     durch     den Strahlenschutz,       da       möglichst       niemand       innerhalb       des Kontrollbereiches am Röntgentisch zu stehen hat. Röntgen      ist      das      Untersuchungsmedium      der      Wahl      bei Erkrankungen       des       Bewegungsapparates       und       oft       sind Untersuchungen   auf   HD   oder   ED   schon   im   jungen Alter   von   den Zuchtverbänden vorgeschrieben.    

Leistungen

Neben dem üblichen Leistungsspektrum einer Kleintierpraxis während der Sprechstunde

bietet die Tierarztpraxis Lützschena zusätzlich folgende Leistungen an:

Tierarztpraxis Leipzig-Lützschena Michael Asperger, Dr.med.vet., GPCertDI Leber:  Lobektomie Cholecystektomie Hernien Zwerchfellhernie Perinealhernie Inguinalhernie Niere Nephrektomie Milz Splenektomie Darm Fremdkörper (Enterotomie, Enterektomie) Schilddrüse Thyreodektomie Katze Orthopädie Kreuzbandriß Patellaluxation Marknagelung Femurkopfresektion Tumoroperationen Chirurgische Wundversorgung Auge Entropium/Ektropium Lidrandtumoren Nickhautschürze Enukleation Harnableitende Organe Zystostomie Urethrostomie
Operationen
Wir arbeiten in unserer Praxis mit zwei Lasern: Unser   Diodenlaser   gehört   mit   8   W   Leistung   der   Klasse   4   an und   besitzt   eine   Wellenlänge   von   810   nm.    Diese   Wellenlänge hat   den   Vorteil,   dass   die   Eindringtiefe   in   biologisches   Gewebe relativ   hoch   ist   (bis   zu   3   cm).   Das   Anwendungsspektrum   reicht von   der   Laserchirurgie   über   die   Photodynamische   Therapie   bis hin zur unterstützenden Behandlung in der Orthopädie. Unser     CO 2 -Laser     mit     bis     zu     40     W     Leistung      ist     das Arbeitspferd   in   der   Laserchirurgie.   Die   Betriebsarten   cw/super puls/ultra     puls     erlauben     zusammen     mit     dem     artikulierten Handstück   vielfältige   chirurgische   Eingriffe   im   Nicht-Kontakt- Verfahren.   Chirurgie:   Wir   können   kleinere   Umfangsvermehrungen   der   Haut wie   z.B.   Warzen   mit   einer   leichten   Sedierung   durch   beide   Laser entfernen.     Laserwunden     werden     i.d.R.     nicht     genäht     und granulieren einfach aus. Die Wundheilung ist bekanntermaßen bei Laserwunden sehr gut. Alternativ   können   mit   dem   CO 2 -Laser   Umfangsvermehrungen   der   Haut   wie   dermale   Naevi,   Warzen   oder Fibrome   auch   ablatiert   werden.   Der   CO2-Laser   erlaubt   zahlreiche   Operationen:   Entropium-OP   mit   oder ohne     Inzision,     Chirurgie     von     stenotischen     Nasen,     Kürzen     des     Gaumensegels,     Ablation     von hyperproliferierenden apokrinen Drüsen des Ohres, Tumoren der Maulhöhle.   PDT:   Hierbei   handelt   es   sich   um   ein   Verfahren,   bei   denen   ein   Photosensitizer   (PS),   der   durch   die Laserstrahlung   aktiviert   wird,   reaktive   Sauerstoff-Spezies   (ROS)   bildet.   Dies   erfolgt   auf   grundsätzlich   2 Wegen:   Typ-I-Reaktion :   Durch   direkte   Interaktion   des   PS   mit   Substratmolekülen      erfolgt   ein   Elektron– bzw.   Wasserstofftransfer   vom      PS   auf   ein   Substratmolekül,   wodurch   Ionen   gebildet   werden   oder   der   PS nimmt   Elektronen/Wasserstoff   von   einem   Substratmolekül   auf,   wodurch   freie   Sauerstoffradikale   gebildet werden.        Typ-II-Reaktion :    Der    PS    produziert    einen    hochreaktiven    Zustand    von    Sauerstoff,    den sogenannten   Singlet-Sauerstoff.   Beide   Wege   führen   zum   Untergang   der   Zellen,   die   den   PS   aufgenommen haben.   Da   sowohl   Erreger   wie   Bakterien   und   Pilze   als   auch   entartete   Zellen   wie   Krebszellen   den   PS stärker   aufnehmen   als   normale   Zellen,   ist   die   zellzerstörende   Wirkung   selektiv   und   schont   gesundes Gewebe.   Dies   wird   in   der   antibakteriellen   PDT   (aPDT)      und   mittlerweile   auch   in   der   Krebstherapie genutzt.    Beispiele    aus    der    Humanmedizin    sind    die    Behandlung    von    Nagelpilzinfektionen    oder    die Behandlung    von    Blasenkrebs.    Vorteil    der    aPDT    ist,    dass    es    keine    Resistenzbildung    gibt    und    der Antibiotikaeinsatz   reduziert   werden   kann.   Bei   der   Krebsbehandlung   liegt   der   Vorteil   in   den   geringen Nebenwirkungen    und    der    damit    gegebenen    möglichen    Wiederholbarkeit    der    Behandlung.    Auch Krebszellen   haben   bisher   gegenüber   der   PDT   keine   Resistenzbildung   gezeigt,   was   bei   anderen   Verfahren (Chemotherapie,   Bestrahlung)   der   Fall   ist.   Limitierender   Faktor   der   PDT   ist,   daß   das   zu   behandelnde Gewebe   dem   Laserlicht   zugänglich   sein   muß   und   der   Durchmesser   die   Eindringtiefe   des   Laserlichts   nicht übertreffen darf.  In unserer Praxis kommen folgende PS zum Einsatz: 1)    Das    Photolase -Verfahren    ist    ein    aPDT-Verfahren    aus    der    Humanmedizin.    Zum    Einsatz    kommt    ein modifizierter    Methylenblaufarbstoff,    der    ein    hervorragendes    Verteilungsvolumen    besitzt.    In    der Humanmedizin       kommt       dieses       Verfahren       ursprünglich       aus       der       Zahnmedizin       (z.B. Parodontosebehandlung),    aber    der    Einsatzbereich    wird    dort    zunehmend    erweitert    und        chronische Wunden   sowie   Fisteln   werden   nunmehr   erfolgreich   mit   diesem   System   behandelt.   In   unserer   Praxis werden      sehr      erfolgreich      „Hot-Spots“      bei      Hunden,      chronisch      infizierte      Wunden      (z.B. Nagelbettinfektionen) sowie Zahnfleischentzündungen bei der Katze behandelt. 2)   Emun-Do   ist   ein   Indocyanogrünfarbstoff,   der   eigentlich   eine   PTT   (Photothermische Therapie)   bewirkt,   d.h. eher   physikalisch   durch   eine   Verstärkung   der   thermischen   Wirkung   und   nicht   wie   oben   beschrieben chemisch   über   ROS   wirkt.   Auch   dieser   Wirkstoff   kommt   ursprünglich   aus   der   Zahnmedizin,   wo   er   zur Parodontosebehandlung    eingesetzt    wird.    Wir    setzen    den    Farbstoff    primär    zur    Krebstherapie    bei Hauttumoren   ein,   z.B.   beim   Plattenepithelkarzinom   der   Katze.      Der   Farbstoff   wird   meist   sowohl   in   den Tumor   als   auch   intravenös   injiziert   und   unmittelbar   danach   wird   der   Tumor   dem   Laserlicht   ausgesetzt, wobei die einzutragende Energie beträchtlich sein kann. Orthopädie :   Bei   entzündlichen   Erkrankungen   der   Gelenke   und   vor   allem   der   Sehnen   hat   sich   eine   lokale Laserbestrahlung   als   Schmerztherapie   bewährt.   Meist   benötigen   wir   3   -   4   Sitzungen   von   nur   wenigen Minuten,   um   einen   Behandlungserfolg   zu   erreichen,   wobei   oft   auch   schon   eine   Bestrahlung   ausreicht. Wir   bestrahlen   dabei   mit   3   Watt,   was   einen   höheren   Energieeintrag   und   Behandlungserfolg   verspricht als   die   Bestrahlung   mit   einer   Laserdusche,   welche   in   der   Regel   sogenannte   Softlaser   mit   nur   500   mW sind.  
Röntgen
Laser
Mit   der   Kaltplasmatherapie   bietet   unsere   Tierarztpraxis   eine   weitere hochmoderne         antibakterielle         und         wundheilungsfördernde Therapiemöglichkeit    an.   Die   Plasmamedizin   ist   ein   Forschungsgebiet an   der   Schnittstelle   zwischen   Physik   und   Medizin: Als   Plasma   bezeichnet man   einen   besonderen,   angeregten   Gaszustand,   der   manchmal   auch   als vierter Aggregatszustand   bezeichnet   wird.   Führt   man   einem   Gas   Energie zu,    kommt    es    zur    Herauslösung    von    Elektronen    aus    Atomen    oder Molekülen    des    Gases    -    es    entstehen    frei    bewegliche    Elektronen    und ionisierte   Atome.   Dieser   Vorgang   ist   mit   einer   erhöhten   Reaktivität   des Plasmas     verbunden.     Es     gibt     thermische     (z.B.     Bogenentladungen,    Anwendung     beim     Schweißen)     und nichtthermische   Plasmaquellen,   die   sich   noch   in   der   Erzeugung   heißer   (beschichtende Anwendungen)   und   kalter (medizinische   Anwendungen)   Plasmen   unterscheiden.   Ähnlich   wie   die   PDT   wirkt   das   Kaltplasma   über   die Bildung   von   reaktiven   Sauerstoffspezies   (ROS)   auf   die   Zellen.   Zusätzlich   wirkt   es   aber   noch   über   reaktive Stickstoffspezies (RNS), UV-Strahlung und elektromagnetische Felder. In   unserer   Praxis   kommt   ein   Plasmajet   (kINPenVet)    zur   Anwendung.   Das   Grundgerät   versorgt   einen   Zylinder (das   Handstück)   mit   einem   konstanten   Argon-Gasfluß.    Der   Mantel   des   Zylinders   ist   auf   Massepotential,   die zentrisch    angeordnete    Elektrode    auf    Hochspannungspotential.    Das    entstehende    Plasma    wird    als    Effluent ausgetrieben.   Das   Effluent   hat   einen   Durchmesser   von   1—5   mm   und   eine   Länge   von   einigen   Zentimetern.   Dies ist    ein    Vorteil    gegenüber    der    PDT,    da    dadurch    auch    infizierte    Wundhöhlen    erreicht    werden    können.    Das Kaltplasma    erreicht    an    der    Wundoberfläche    eine    Keimabtötung     und    induziert    in    tieferen    Schichten    die Geweberegeneration    über   Zellproliferation   und   Angiogenese   sowie   antientzündliche   Effekte.   Dies   liegt   darin begründet,   daß   Bakterienzellen   eine   höhere   Teilungsrate   und   schlechtere   Reparaturmechanismen   als   eutherische Zellen   haben   und   daher   empfindlicher   gegenüber   dem   Kaltplasma   sind   und   untergehen. Tierische   Zellen   dagegen werden    aktiviert,    da    sie    die   Wirkungen    des    Kaltplasmas    nur    als    Streß    empfinden    und    gegensteuern.    Dies begründet   die   Kaltplasmaanwendung   in   der   Therapie      von   hochgradig   infizierten,   von   chronischen   Wunden, von   Parodontosen   und   in   der   Kleintiermedizin   zusätzlich   von   Ohrentzündungen ,   wobei   wir   dafür   noch   über einen   speziellen   Aufsatz   und   ein   etwas   abgewandeltes   Gasgemisch   (Argon/Sauerstoff)   verwenden,   um   auch   tief in den Gehörgang einzuwirken.   
Ultraschall
Kaltplasmatherapie
Schaf- und Ziegenmedizin
Wildtiere oder extensiv gehaltene Rinder und Pferde müssen oft aus der Distanz behandelt oder immobilisiert werden. Mit dem Kaltgasgewehr lassen sich Entfernungen bis zu 25 m recht sicher überbrücken. Der CO2-Druck kann dabei an jede Entfernung angepasst werden, damit die Auftreffwucht der Pfeile nicht zu groß wird. Oberhalb von 25 m erhöht sich die Trefferungenauigkeit infolge der Windanfälligkeit der Pfeile überproportional, so daß ich nur in Ausnahmefällen über größere Distanzen schieße, auch wenn die theoretische Reichweite des Gewehres bei reichlich 40 m liegt.  Die von mir verwendeten Pfeile sind absolut auslösesicher, wodurch bei jedem Treffer auch die vollständige Medikamentenverabreichung erfolgt.   Eine spezielle Narkosekombination erlaubt es mir, auch die an sich schwer zu narkotisierenden Przewalskipferde und Wildesel zum Abliegen und in ein chirurgisches Toleranzstadium zu bringen, ohne dabei auf gefährliche, hochpotente Opiate zurückgreifen zu müssen.
Distanzimmobilisierung
Zahnstein   und   Mundgeruch   sind   ein   lästiges   Problem   bei   der   Haltung   von Hund   und   Katze.   Vorsorge   können   Sie   auf   verschiedene   Arten   treffen:   Sie können    vor    allem   Trockenfutter    verabreichen,    können    Kauknochen    und bestimmte   Futterergänzungen   wie   Dentabits   geben   oder   Sie   können   eine richtige   Mundpflege   mit   verschiedenen   Präparaten   bis   hin   zur   Verwendung von   Hunde–   bzw.   Katzenzahnpasta   betreiben.   Auch   spezielle   Futtermittel zur Verhinderung   von   Zahnstein   wurden   entwickelt. Alle   diese   Maßnahmen können    dazu    beitragen,    daß    Zahnstein    weniger    schnell    gebildet    wird, verhindern   können   sie   ihn   meist   nicht.   In   der   Folge   entwickeln   sich   oft Zahnfleischentzündungen.   Daher   werden   sie   vielleicht   damit   konfrontiert, daß    eine    Zahnsteinentfernung    und    manchmal    auch    eine    Zahnextraktion notwendig   sind.   Zu   diesem   Zweck   verfügen   wir   über   über   ein   Ultraschall- Zahnsteinentfernungsgerät     und     eine     professionelle     Dentalbohreinheit sowohl          mit          einem          Elektromotor          als          auch          einer Hochgeschwindigkeitsturbine.     Eine     anschließende     Lasertherapie     mit Photolase   ermöglicht   uns   eine   weitere   Keimreduzierung   v.a.   in   den   schwer zugänglichen Zahnfleischtaschen.
Die   Tierarztpraxis   Lützschena   verfügt   über   ein   eigenes   Labor.   Blutwerte liegen     innerhalb     kurzer     Zeit     vor:     Hierzu     gehören     die     wichtigsten blutchemischen       Parameter       wie       z.B.       Leberenzyme,       Nierenwerte (harnpflichtige   Stoffe),   Glukose   und   Calcium   sowie   die   Bestimmung   des Anteils   roter   Blutzellen   (Hämatokrit),   der Anzahl   weißer   Blutzellen   (WBC) und   der   Blutgerinnungsparameter   PT   und   aPTT.   Einige   Schnelltests   und übliche Kotuntersuchungen auf Parasiten vervollständigen das Angebot.
Lumpy    Jaw    Disease    (LJD)    ist    eine    verlustreiche    Erkrankung    bei    in menschlicher   Obhut   gehaltenen   Kängurus   und   zeichnet   sich   hier   für   bis   zu 60    %    der   Todesfälle    bei    Makropoden    verantwortlich,    wobei    bestimmte Arten    (Rotes    Riesenkänguru,    Bennett`s   Wallaby)    empfindlicher    zu    sein scheinen   als   andere   (Parmawallaby).   Es   existieren   aber   auch   Berichte   über das   Auftreten   dieser   Erkrankung   bei   Tieren   in   freier   Wildbahn   und   sogar bei   fossilen   Makropoden   wurden   Hinweise   für   LJD   gefunden.   Bei   der   LJD handelt     es     sich     um     eine     Osteomyelitis     (Knochenentzündung)     der Kieferknochen,    die    oft    von    der    Maulschleimhaut    oder    den    Alveolen ausgeht.   Die   erkrankten   Tiere   fallen   durch   Schwellungen   im   Bereich   des Ober-   oder   Unterkiefers   sowie   durch   erhöhten   Speichel-   und   Tränenfluss auf, später verweigern die Tiere die Futteraufnahme.  Therapeutisch   erweist   sich   LJD   oft   als   schwer   beherrschbar.   Systemische Antibiotikagaben   führen   zwar   zunächst   zu   einer   klinischen   Verbesserung, aber   Rezidive   kommen   häufig   vor.   Hinzu   kommt,   daß   die   Tiere   hierfür   das Antibiotikum   über   einen   längeren   Zeitraum   täglich   oral   aufnehmen   bzw. injiziert      bekommen      müssen.      Vielversprechend      ist      eine      neuere Behandlungsmethode,        bei        der        mit       Antibiotika        angereicherte Knochenzementzylinder   in   den   betroffenen   Kiefer   eingesetzt   werden.   Die Behandlung    erfolgt    meist    in    2    Schritten:    Bei    der    ersten    Untersuchung entnehme     ich     Tupferproben     von     der     betroffenen     Region     für     die bakteriologische         Untersuchung         und         verschaffe         mir         durch Röntgenaufnahmen   einen   Überblick   über   das   Ausmaß   der   Osteomyelitis. Anschließend      stelle   ich   die   Knochenzementzylinder   mit   dem   entsprechend dem   Antibiogramm   wirkungsvollsten   Antibiotikum   her,   um   sie   in   einer zweiten   Behandlung   dem   Wallaby   oder   Känguru   in   den   erkrankten   Kiefer einzusetzen,   wobei   hierbei   auch   die   betroffene      Knochenmarkhöhle   durch   1 bis   3   kleine   Bohrungen   eröffnet   und   gespült   wird.   Da   das Antibiotikum   von den   Knochenzementzylindern   über   einen   Zeitraum   von   bis   zu   3   Monaten direkt   am   Ort   des   Geschehens   freigesetzt   wird,   ist   nur   eine   kurzzeitige, operationsbegleitende Antibiotikagabe erforderlich.
Lumpy Jaw Disease (Känguruhs)
Leider   sind   in   den   letzten   Jahren   die   kleinen   Wiederkäuer   auf   dem   Gebiet der   Veterinärmedizin   ein   wenig   ins   Hintertreffen   geraten,   was   sich   vor allem   in   der   geringen   Anzahl   an   Medikamenten   zeigt,   die   für   Schaf   und Ziege   zugelassen   sind.   Trotzdem   helfe   ich   Ihnen   gern,   egal   ob   Sie   nur wenige      Schafe      im      Garten      halten      oder      mit      einer      Schafherde Landschaftspflege       betreiben.       Ich       führe       amtlich       angewiesene Blutentnahmen   aus,   widme   mich   der   Einzeltierbehandlung   einschließlich Ultraschalluntersuchung   (z.B.   zur   Diagnose   der   Lungenadenomatose   oder zur   Bestätigung   von   Blasengrieß)   und   Operationen   (z.B.   Kaiserschnitt) und   berate   Sie   gern   auch   in   Hinblick   auf   Haltungsfragen   (Entwurmung, Impfung, Kokzidienbehandlung).   
Mit der starren Endoskopie kann Ihnen die Tierarztpraxis Lützschena ein weiteres diagnostisches Hilfsmittel anbieten. Typische Einsatzgebiete sind die Rhinoskopie (Spiegelung der Nase) und die Otoskopie (Spiegelung der Gehörganges) sowie die Entfernung von Fremdkörpern aus selbigen.   Durch die neue Videoendoskopie ist der Überblick nochmal deutlich besser als bei der direkten Endoskopie durch das Okular.
Endoskopie
Zahnpflege
Röntgen
Operationen     -    Ultraschall     -    Röntgen     -    Laser     -    Kaltplasma     -    Distanzimmobilisierung     -    Endoskopie     - Zahnpflege  - Labor  - Känguruhs (Lumpy Jaw Disease)  - Schaf- und Ziegenmedizin
Labor